APSC team wins MDDC Award for Excellence

image

A team of electrical and computer engineering students has received an Award for Excellence in Biomedical Engineering Student Design and Innovation from the Medical Device Development Centre (MDDC), a non-profit BC society that supports the development of need-oriented medical technology.

The award aims “[to recognize] student innovators in technologies relating to medicine and health care” and “to encourage BC’s best and brightest young innovators in the field of medical technologies and biomedical engineering to pursue their innovations.”

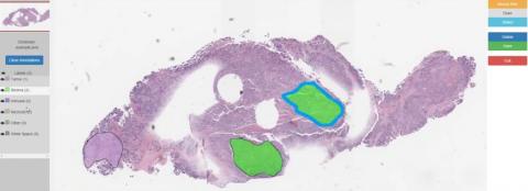
The UBC team — Ziqiao Lin, Yuxiang Huang, Justin Liu, James Zhou and Mohamed Shehata — created a web application that enables pathologists to view, annotate and edit full-resolution clinical slide images online. It was developed as their capstone design project, which requires senior-year engineering students to design a product or service that solves a significant real-world problem in their field.  

In order for computers to be able to identify tumours accurately, they must be trained on thousands of expertly annotated slides. But for developers of such machine learning technology, obtaining these slides is highly inefficient: the images can be several gigabytes in size and are stored in a specialized format, so they currently need to be delivered to pathologists on physical storage devices.

The UBC app eliminates this need, allowing researchers to crowdsource work from pathologists all over the world online. Their innovation may help accelerate the development of machine learning technologies that facilitate the detection of tumours in clinical images.

UBC Engineering capstone projects require teams of four to six students to apply their knowledge and skills, under a faculty member’s supervision, to challenges proposed by community partners. In addition to providing students with invaluable practical experience, the projects offer partners access to world-class research facilities and expertise, a low-cost means of exploring risky business opportunities, and a meaningful way to engage with the next group of UBC Engineering graduates.

Recipients of the MDDC Awards are selected by the MDDC’s Board of Directors, who base their decision on several criteria, including the project’s originality, practicality, development status and projected economic and social impacts.

For more information about UBC Engineering capstone projects, please visit the capstone projects' webpage.

 

UBC Crest The official logo of the University of British Columbia. Arrow An arrow indicating direction. Arrow in Circle An arrow indicating direction. Caret An arrowhead indicating direction. E-commerce Cart A shopping cart. Time A clock. Chats Two speech clouds. Facebook The logo for the Facebook social media service. Home A house in silhouette. Information The letter 'i' in a circle. Calendar Location Instagram The logo for the Instagram social media service. Linkedin The logo for the LinkedIn social media service. Social Media The globe is the default icon for a social media platform. TikTok The logo for the TikTok social media platform. Location Pin A map location pin. Mail An envelope. Telephone An antique telephone. Play A media play button. Search A magnifying glass. Arrow indicating share action A directional arrow. Speech Bubble A speech bubble. Star An outline of a star. Twitter The logo for the Twitter social media service. Urgent Message An exclamation mark in a speech bubble. User A silhouette of a person. Vimeo The logo for the Vimeo video sharing service. Youtube The logo for the YouTube video sharing service. Future of work A logo for the Future of Work category. Inclusive leadership A logo for the Inclusive leadership category. Planetary health A logo for the Planetary health category. Solutions for people A logo for the Solutions for people category. Thriving cities A logo for the Thriving cities category. University for future A logo for the University for future category.